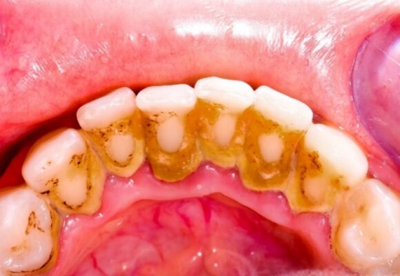
Vôi răng là gì?
Vôi răng còn gọi là cao răng là những mảng bám, cặn vụn thức ăn dư thừa bám dính ở thân răng và nướu răng. Theo thời gian, các mảng bám này bị vôi hóa trở nên cứng hơn, không thể làm sạch bằng cách vệ sinh răng miệng thông thường mà phải nhờ tới sự can thiệp của các dụng cụ nha khoa chuyên dụng.
![]() |
![]() |
Nguyên nhân gây ra vôi răng :
Dưới đây là một số nguyên nhân chính gây ra vôi răng:
– Tạo mảng bám vi khuẩn: Miệng của chúng ta chứa hàng tỷ vi khuẩn, và khi chúng kết hợp với các tàn dư thức ăn và nước bọt, chúng tạo thành một lớp mật độ cao gọi là mảng bám. Vi khuẩn trong mảng bám tác động lên các chất trong thức ăn và đồ uống, gây ra sự phân giải acid và tạo ra các chất gây hại cho men răng và mô mềm.
– Thức ăn có đường: Các loại thức ăn và đồ uống có chứa đường, như đồ ngọt, soda, nước giải khát, kẹo cao su, có thể tạo điều kiện thuận lợi cho vi khuẩn trong miệng phát triển. Vi khuẩn tiêu hóa đường và sản xuất acid, gây ăn mòn men răng và gây ra vôi răng.
– Hợp chất khoáng: Các chất khoáng trong nước uống và thức ăn, chẳng hạn như canxi và phosphat, có thể tạo mảng bám và gây ra vôi răng. Các chất khoáng này kết hợp với các phân tử trong nước bọt tạo thành một lớp cứng trên bề mặt răng.
– Hút thuốc lá: Hút thuốc lá có thể gây ra mảng bám và vôi răng. Thuốc lá chứa các chất hóa học gây kích thích và gây tổn thương cho mô nướu, làm tăng nguy cơ vi khuẩn và mảng bám.
– Hình dạng răng và cấu trúc miệng: Một số người có các hình dạng răng và cấu trúc miệng đặc biệt có thể dễ dàng tích tụ vôi răng hơn. Ví dụ, nếu có các kẽ hở răng, các khoang hở hay các khe hẹp giữa răng, mảng bám và vôi răng có thể tích tụ nhanh chóng.
– Nước giải khát có ga: Nước có gas, chẳng hạn như nước ngọt có ga, có chứa axit cacbonic, có thể gây ăn mòn men răng và tạo mảng bám.
Khi nào nên cạo vôi răng ?
Răng cần được cạo vôi và làm sạch kỹ lưỡng chuyên nghiệp 6 tháng 1 lần theo ADA (Hiệp Hội Nha Khoa Hoa Kỳ). Nếu những bệnh nhân có sẵn các vấn đề răng miệng thì còn phải được cạo vôi răng thường xuyên hơn (3-4 tháng).
Thông thường, khi khám răng miệng tổng quát, nếu bác sĩ thấy dấu hiệu bạn có nhiều vôi răng hoặc bị viêm nướu thì sẽ chỉ định cho bạn phải điều trị Cạo vôi răng.
Những dấu hiệu cho thấy bạn đang bị viêm nướu mà bạn cần phải đến cạo vôi răng:
- Nướu (lợi) viêm đỏ
- Sưng nướu (lợi)
- Chảy máu nướu (lợi)
- Vôi răng nhiều
- Hôi miệng
- Đau nướu/ Áp-xe nướu (lợi)
Cạo vôi có ảnh hưởng gì không ?
Được biết như là điều trị nha khoa phòng ngừa quan trọng nhất, nhưng cũng là điều trị thông thường và ít tốn kém nhất, cạo vôi răng giúp phòng các bệnh lý thường xảy ra do sự tích tụ của vôi răng và mảng bám. Những tích tụ này vẫn xảy ra dù bạn vệ sinh kỹ đến đâu, vệ sinh đúng cách là để làm chậm sự tích tụ này và giảm khả năng bạn bị viêm nướu.
Mục đích của việc định kỳ đi lấy vôi răng có thể liệt kê gồm:
- Phòng ngừa sâu răng
- Giữ răng chắc khỏe
- Giữ cho nướu khoẻ mạnh
- Điều trị viêm nướu và viêm nha chu
- Tránh việc vôi răng tích tụ quá nhiều
- Làm sạch các vết dính đen mất thẩm mỹ
Cạo vôi răng thường không đau, không ảnh hưởng tới các mô mềm hay tổn thương men răng. Nhưng tình trạng tổn thương răng nướu vẫn có thể xảy ra nếu các thao tác của Bác sĩ tác động trực tiếp đến má trong, lưỡi…Vì vậy, để hạn chế ê buốt sau khi cạo vôi răng, bạn chỉ nên lựa chọn các địa chỉ nha khoa uy tín, có đội ngũ Bác sĩ giàu kinh nghiệm, trình độ chuyên môn cao cùng trang thiết bị hiện đại.
Tại Nha Khoa Hạnh Phúc, với đội ngũ kỹ thuật được đào tạo thuần thục, cẩn thận & trách nhiệm, quý khách hàng có thể yên tâm răng sẽ không bị ê buốt sau khi cạo vôi, đánh bóng răng
Quy trình cạo vôi răng
- Cạo vôi răng: Cạo vôi răng là quá trình lấy đi các lớp vôi và mảng bám trên răng bám dính chặt trên răng bằng các dụng cụ phù hợp như tay rung siêu âm, bộ dụng cụ tay,…
- Đánh bóng răng: được thực hiện sau khi cạo vôi hoàn tất nhằm làm bề mặt răng sáng bóng thẩm mỹ và trơn láng hơn. Thường bằng các dụng cụ như chổi đánh bóng bằng máy, bột đánh bóng, có thể thêm máy thổi cát để làm sạch chuyên nghiệp các vết dính
Cạo vôi răng bằng đầu rung siêu âm
Đánh bóng răng



