HÌNH ẢNH THAM KHẢO
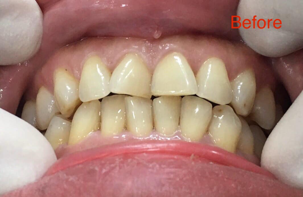
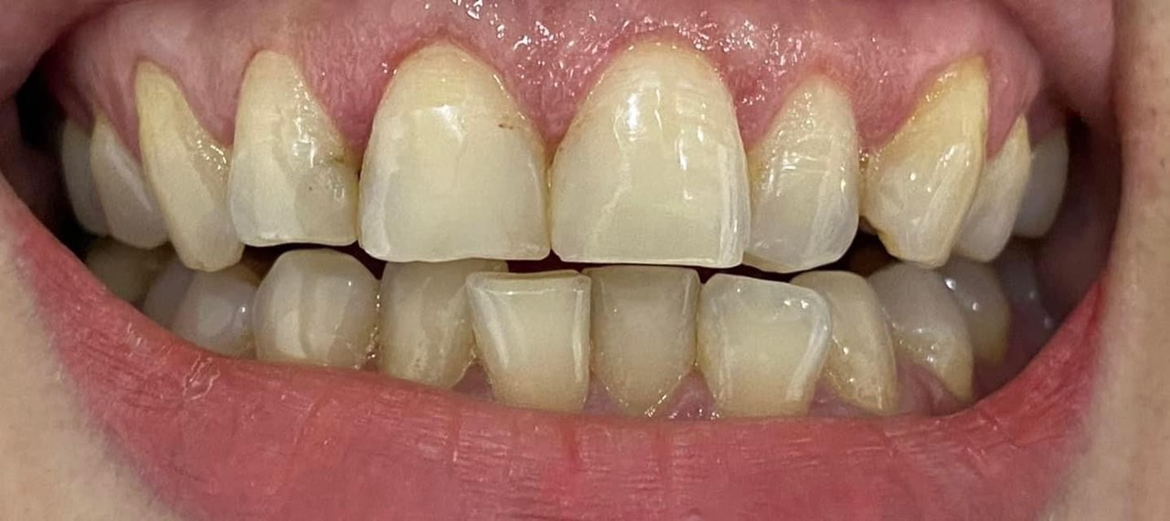
Răng xỉn màu, ố vàng nhiều, nhờ răng sứ mà chị em có thể lấy lại tự tin
Khi răng lệch lạc, chen chúc nhiều mà ngại niềng răng vì khó khăn trong giao tiếp thì răng sứ cũng là giải pháp, cải thiện toàn bộ cục diện
Cải thiện đóng khe hở răng cửa nhờ vào răng sứ
Chị ấy khác xưa nhiều quá, đẹp ra, trẻ ra, tự tin hơn với nụ cười của mình
Một ca viêm nha chu nặng, tuột nướu, trồi răng, ngoài mặt thẩm mỹ , răng sứ còn là lớp bảo vệ khi men răng đã có vấn đề
Mất răng, răng thưa, ố vàng, xỉn màu, Chị đã quyết định đầu tư cho mình bộ răng sứ mới để tự tin hơn trong giao tiếp
Từ nay tôi thoải mái cười được rồi. Vui quá đi !!!
Công nhận người đẹp vì lụa, còn nụ cười đẹp thì không thể không kể đến răng sứ
Eo ôi, quá tuyệt . Chị ấy rất hài lòng với hàm răng mới này, đi khoe thỏa thích .
Cảm ơn vị bác sĩ đến từ Vĩnh Long đã tin tưởng ủng hộ Nha Khoa Hạnh Phúc
Cám ơn chị đẹp ở Trà Vinh đã tin tưởng ủng hộ Nha Khoa Hạnh Phúc
Cảm ơn Chị khách dễ thương đã tin tưởng Nha Khoa Hạnh , bay từ Lào về Việt Nam cải thiện nụ cười với bộ răng xịn xò, mới tinh
Chỉ 2 chiếc vener xinh xắn cho răng cửa thôi mà cũng đã thay đổi toàn bộ cục diện rồi đấy ạ, nụ cười chị ấy tự tin hẳn

Nhiều người đã trở nên tự tin hơn sau khi tậu cho mình bộ răng sứ
